बिगड़ गया पूरा सिस्टम! कोमा से जागा तो आगे से होने लगी पॉटी, पीछे से निकलने लगी पेशाब
नई दिल्ली,सितंबर 23: दुनिया में कई बार किसी मेडिकल गलती के चलते ऐसे मामले सामने आते है, जो बेहद ही हैरान करने वाले होते हैं। अमेरिका में एक ऐसा ही चौंका देने वाला मामला सामने आया है। दरअसल एक शख्स के प्राइवेट पार्ट में जहां से पेशाब करता था। वहीं से वह पॉटी करने लगा और पॉटी वाली जगह से वह पेशाब कर रहा था। बुरी तरह से परेशान शख्स जब डॉक्टर के पास पहुंचा तो वे भी उसकी परेशानी सुनकर दंग रह गए।
Recommended Video

आगे से पॉटी तो पीछे से करने लगा पेशाब
अमेरिका के टेक्सास राज्य में 33 वर्षीय एक व्यक्ति दो साल से अजीबोगरीब चिकित्सा समस्याओं से पीड़ित था। जिसमें उसके मूत्र (फेकलुरिया) में मल पदार्थ और उसके गुदा से मूत्र और वीर्य निकल रहा था। लेकिन शर्म की वजह से वह अपनी हालत वो किसी के साथ शेयर नहीं कर रहा था। लेकिन दो साल तक इस दिक्कत को झेलने के बाद उसके टेस्टिकल्स में सूजन आ गई। जिससे चलते उसे भयंकर दर्द शुरू हो गया।

इस वजह से हुई ये दिक्कत
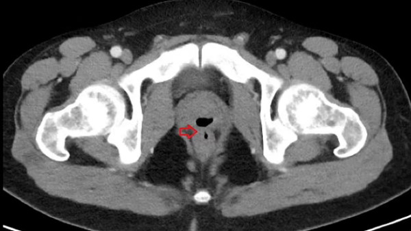
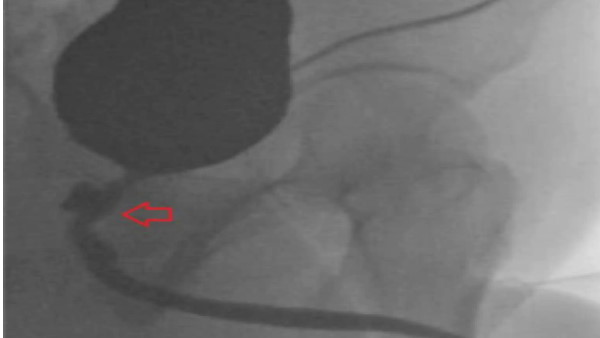
जब उस व्यक्ति पर दर्द सहन नहीं हुआ तो वह डॉक्टर के पास पहुंचा। डॉक्टर्स ने जांच में पाया कि उसके प्राइवेट पार्ट्स के साथ एक मेडिकल गलती के कारण ऐसी छेड़छाड़ हुई थी। मेडिकल जर्नल क्यूरियस में प्रकाशित एक पेपर के अनुसार, परीक्षणों से पता चला कि उन्हें मूत्र मार्ग में संक्रमण के साथ-साथ उनकी मलाशय की दीवार में भी समस्या थी। सीटी स्कैन से पता चला कि उसके पेट के अंदर 'गैस से भरी संरचना' थी, आगे के परीक्षणों से मूत्रमार्ग और मलाशय के बीच एक फिस्टुला मिला।

मेडिकल गलती के चलते उठाना पड़ा नुकसान
इसी फेस्टुला के चलते जिसके माध्यम से विभिन्न तरल पदार्थ और ठोस पदार्थ गुजर रहे थे। दो साल पहले ये शख्स ड्रग्स के ओवरडोज के कारण तीन हफ्ते तक कोमा में रहा था। उस दौरान अस्पताल में शख्स की बॉडी से गंदगी पास करवाने के लिए फॉले कैथिटर लगाया गया था। इसके जरिये कोमा में गए मरीज की बॉडी से यूरिन और पॉटी को निकाला जाता है। इस प्रोसेस के दौरान शख्स के अंदर का पार्ट डैमेज हो गया।

गड़बड़ी की वजह से शख्स की बॉडी में इन्फेक्शन हो गया
अस्पताल में कोमा के दौरान फॉले कैथिटर डालते समय उसके शरीर में एक सुरंग बन गई। जो प्रोस्टेट और मलाशय को जोड़ रही थी। इसके चलते शख्स के टेस्टिकल्स सूज गए थे। इतना ही नहीं उसकी बॉडी के अंदर गैस बनने की वजह से यूरिन और सीमन उसके रेक्टम में जमा होने लगा था। इस पूरी गड़बड़ी की वजह से शख्स की बॉडी में इन्फेक्शन हो गया था।

अब शख्स की हालत में हो रहा है सुधार
कई टेस्ट के बाद डॉक्टरों को उसकी दिक्कत का पता चल सका। इसके बाद डॉक्टरों ने उसके सूजे हुए टेस्टिकल्स का इलाज किया। साथ ही उसकी सर्जरी कर उस टनल को बंद किया गया जो उसके शरीर में इस गड़बड़ी को पैदा कर रही थी। कई सर्जरी के बाद उसके वह उस शख्स की हालत में सुधार हो रहा है। जल्द ही वह अपनी पहले जैसी नॉर्मल लाइफ जी सकेगा।












Click it and Unblock the Notifications