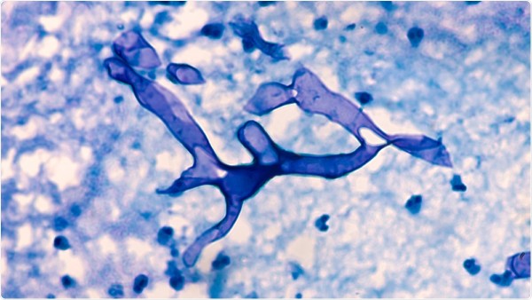
सर गंगा राम अस्पताल में 2 मरीजों की छोटी आंत में मिला ब्लैक फंगस, डॉक्टरों ने बताया दुर्लभ मामला
दिल्ली के सर गंगा राम अस्पताल में दो मरीजों की छोटी आंत में ब्लैक फंगस पाया गया है। डॉक्टरों ने कहा कि ब्लैक फंगस का छोटी आंत पर असर पड़ा है जो अपने आप में एक दुर्लभ मामला है।
नई दिल्ली, 22 मई। अभी कोरोना वायरस खत्म नहीं हुआ कि एक नहीं बीमारी ने अपने पैर जमाने शुरू कर दिये हैं। इस बीमारी का नाम है ब्लैक फंगस। भारत में ब्लैक फंगस के मामले तेजी से बढ़ रहे हैं। देश के आठ राज्य इसे महामारी घोषित कर चुके हैं। वहीं, दिल्ली के सर गंगा राम अस्पताल में दो मरीजों की छोटी आंत में ब्लैक फंगस पाया गया है। डॉक्टरों ने कहा कि ब्लैक फंगस का छोटी आंत पर असर पड़ा है जो अपने आप में एक दुर्लभ मामला है।
Recommended Video

अस्पताल में 56 वर्षीय मरीज श्री कुमार और एक अन्य 68 वर्षीय मरीज में बायोप्सी के दौरान उनकी छोटी आंत में ब्लैक फंगस की पुष्टि हुई। अस्पताल प्रबंधन ने बताया कि ये दोनों मरीज कोरोना और मधुमेह से संक्रमित थे, लेकिन उनमें से केवल एक ने स्टेरॉयड लिया था।
यह भी पढ़ें: दिल्ली: CM केजरीवाल ने अमेरिकी राजदूत से की बात, कोरोना से निपटने के प्रयासों पर हुआ विचार-विमर्श
डॉक्टरों ने बताया दुर्लभ मामला
इन दोनों मामलों को लेकर डॉक्टरों का कहना है कि बड़ी आंत में ब्लैक फंगस पाया जा सकता है लेकिन छोटी आंत में ब्लैक फंगस पाया जाना अपने आप में दुर्लभ है।
दिमाग में भी पहुंचा ब्लैक फंगस
इससे पहले सूरत में भी ब्लैक फंगस का अपनी तरह का नया मामला सामने आया था, जिसमें ब्लैक फंसस ने
मरीज के दिमाग पर धावा बोला। 23 वर्षीय मरीज के दिमाग में ब्लैक फंगस मिलने के बाद उसकी सर्जरी की गई लेकिन उसे बचाया नहीं जा सका।
गौरतलब है कि देश के अलग अलग हिस्सों में ब्लैक फंगस के अब तक 7,252 केस सामने आ चुके हैं, जिनमें से 219 लोगों की मौत हो चुकी है। केंद्र सरकार ने कई कंपनियों को ब्लैक फंगस की दवा बनाने के लाइसेंस जारी किए हैं।
-
Delhi NCR Weather Today: दिल्ली-NCR में होगी झमाझम बारिश, दिन में छाएगा अंधेरा, गिरेगा तापमान -
युद्ध के बीच ईरान ने ट्रंप को भेजा ‘बेशकीमती तोहफा’, आखिर क्या है यह रहस्यमयी गिफ्ट -
Gold Silver Price: सोना 13% डाउन, चांदी 20% लुढ़की, मार्केट का हाल देख निवेशक परेशान -
Ram Navami Kya Band-Khula: UP में दो दिन की छुट्टी-4 दिन का लंबा वीकेंड? स्कूल-बैंक समेत क्या बंद-क्या खुला? -
इच्छामृत्यु के बाद हरीश राणा पंचतत्व में विलीन, पिता का भावुक संदेश और आखिरी Video देख नहीं रुकेंगे आंसू -
'मुझे 10 बार गलत जगह पर टच किया', Monalisa ने सनोज मिश्रा का खोला कच्चा-चिट्ठा, बोलीं-वो मेरी मौत चाहता है -
Petrol-Diesel Shortage: क्या भारत में पेट्रोल-डीजल समेत ईंधन की कमी है? IndianOil ने बताया चौंकाने वाला सच -
कौन हैं ये असम की नेता? जिनके नाम पर हैं 37 बैंक अकाउंट, 32 गाड़ियां, कुल संपत्ति की कीमत कर देगी हैरान -
Iran Vs America: ईरान ने ठुकराया पाकिस्तान का ऑफर, भारत का नाम लेकर दिखाया ऐसा आईना, शहबाज की हुई फजीहत -
LPG Crisis: एलपीजी संकट के बीच सरकार का सख्त फैसला, होटल-रेस्टोरेंट पर नया नियम लागू -
Trump Florida defeat: ईरान से जंग ट्रंप को पड़ी भारी, जिस सीट पर खुद वोट डाला, वहीं मिली सबसे करारी हार -
Who is Aryaman Birla Wife: RCB के नए चेयरमैन आर्यमन बिड़ला की पत्नी कौन है? Virat Kohli की टीम के बने बॉस












Click it and Unblock the Notifications