Plant Fungus: क्या है किलर प्लांट फंगस? जिसने फैला दिया है खौफ, भारत में दुनिया का पहला मामला
Plant Fungus: पौधों के कारण होने वाले घातक फंगल संक्रमण का पहला मामला कोलकाता के एक व्यक्ति में पाया गया है। प्लांट माइकोलॉजिस्ट ने बार-बार उल्टी, आवाज में भारीपन, निगलने में कठिनाई, गले में खराश की शिकायत की।

What Is Plant Fungus: पिछले एक दशक में, दुनिया ने कोरोना महामारी, इबोला वायरस, H3N2 इन्फ्लुएंजा, मंकीपॉक्स, मारबर्ग वायरस जैसे अभूतपूर्व स्वास्थ्य संकट देखे हैं जिसने दुनिया में लोगों के बीच खौफ पैदा कर दिया। मौसमी विषाणुओं की संरचना में उत्परिवर्तन के कारण स्वास्थ्य संकट पैदा हो गया है। इनसब के बीच एक और संकट लोगों के सामने आया है। दरअसल, अब एक रिपोर्ट में दावा किया गया है कि किलर प्लांट फंगस (Plant Fungus) ने कोलकाता के एक व्यक्ति को संक्रमित कर दिया है। शख्स गंभीर स्थिति से गुजर रहा है समय रहते इलाज नहीं होता तो उसकी मौत भी हो सकती थी। इतना ही नहीं यह दुनिया का पहला मामला भी बन गया है।
शख्स को प्लांट फंगस (Plant Fungus) रोग का पता तब चला जब वह गंभीर रूप से बीमार रहने लगा। शख्स खुद एक प्लांट माइकोलॉजिस्ट है जो हमेशा पौधे के संपर्क में रहता था। आइए जानते हैं क्या है यह किलर प्लांट फंगस? लोगों के लिए है कितना खतरनाक?
क्या है किलर प्लांट फंगस?
शोधकर्ता के मुताबिक प्लांट फंगस (Plant Fungus) को चोंड्रोस्टेरियम परप्यूरियम के नाम से जाना जाता है और यह पौधों में सिल्वर लीफ रोग का कारण बनता है। उन्होंने दावा किया कि पारंपरिक तकनीकें इंसानों में फंगस की पहचान करने में विफल रहीं। उन्होंने कहा कि मैक्रोस्कोपिक और सूक्ष्म आकारिकी से फंगल संक्रमण स्पष्ट था।
क्या हैं प्लांट फंगस के लक्षण ? (Symptoms Of Plant Fungus)
NDTV की रिपोर्ट के मुताबिक इस मामले पर एक शोध केस स्टडी जर्नल मेडिकल माइकोलॉजी रिपोर्ट्स में प्रकाशित हुई थी। लक्षणों में कर्कश आवाज, खांसी, थकान, एनोरेक्सिया (मानसिक बीमारी) और निगलने में कठिनाई शामिल थीं। शोधकर्ता में अपोलो मल्टीस्पेशलिटी हॉस्पिटल्स, कोलकाता की डॉक्टर डॉ. सोमा दत्ता और डॉ. उज्ज्वैनी रे हैं।
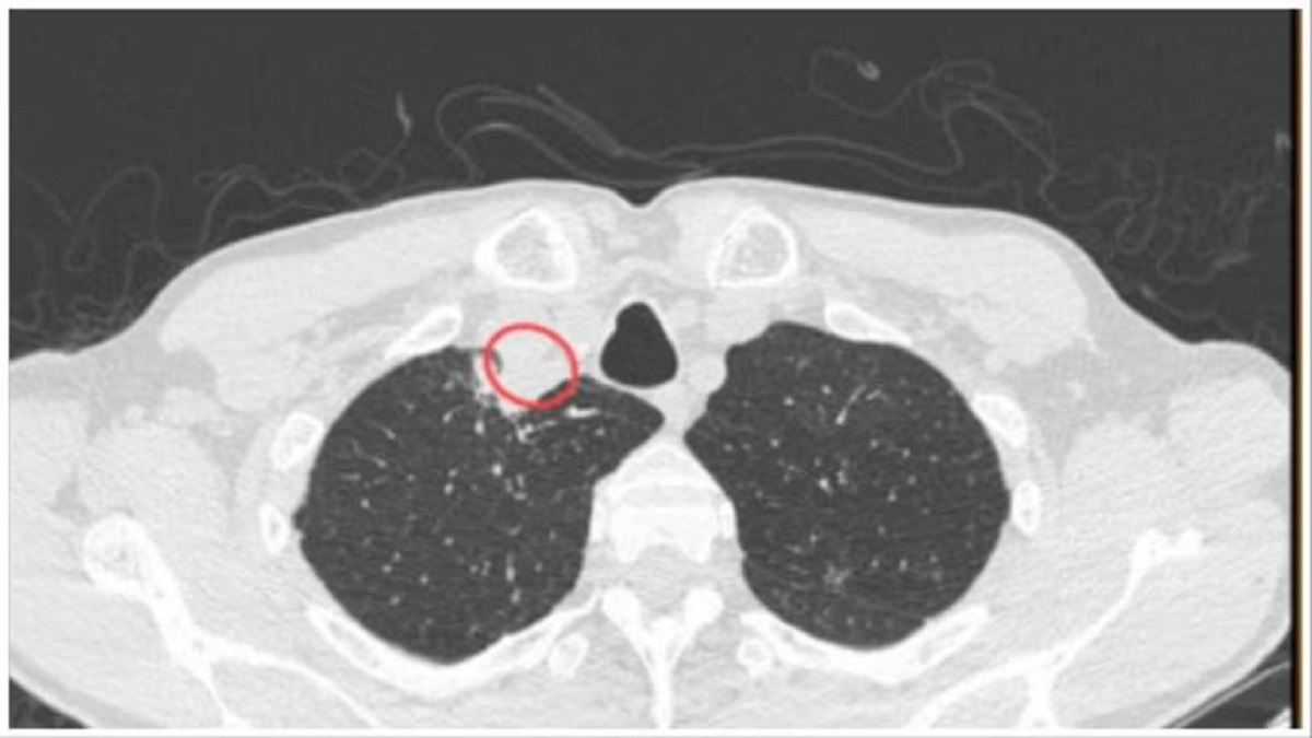
गर्दन के सीटी स्कैन में खतरनाक फोड़ा आया सामने
रोगी की गर्दन के सीटी स्कैन से पता चला कि दाहिना पैराट्रैचियल फोड़ा मौजूद है। डॉक्टरों ने रोगी में गर्दन में फोड़ा का पता लगाया और शल्य चिकित्सा से इसे निकाल दिया। इसके बाद, रोगी को एंटिफंगल दवा का एक कोर्स दिया गया और दो साल के नियमित फॉलो-अप के बाद उसे फिट घोषित किया गया।
कमजोर प्रतिरक्षा प्रणाली आते हैं चपेट में
शोध रिपोर्ट साझा करने वाली Sciencedirect.com वेबसाइट के अनुसार कमजोर प्रतिरक्षा प्रणाली वाले फंगल संक्रमण (Plant Fungus) के लिए सबसे अधिक संवेदनशील होते हैं, लेकिन स्वस्थ और प्रतिरक्षा सक्षम व्यक्तियों को भी अक्सर फंगल संक्रमण होने की सूचना दी जाती है। इस स्थिति में संक्रमण किसी के संपर्क में आने से जुड़ा हो सकता है।
क्या आपको चिंता करनी चाहिए?
शोधकर्ताओं ने कहा कि हालांकि यह एक दुर्लभ मामला था, लेकिन बार-बार सड़ने वाली सामग्री के संपर्क में आना इस संक्रमण का कारण हो सकता है। चूंकि रोगी एक प्लांट माइकोलॉजिस्ट था, इसलिए वह संक्रमित पौधों के साथ मिलकर काम कर रहा होगा। "यह फंगल संक्रमण स्थूल और सूक्ष्म आकृति विज्ञान से स्पष्ट था लेकिन संक्रमण की प्रकृति, प्रसार की क्षमता आदि का पता नहीं लगाया जा सका।
-
Gold Silver Rate Today: सोने चांदी में जबरदस्त गिरावट, गोल्ड 8000, सिल्वर 13,000 सस्ता, अब ये है लेटेस्ट रेट -
LPG Cylinder Price Today: आज बदल गए रसोई गैस के दाम? सिलेंडर बुक करने से पहले चेक करें नई रेट लिस्ट -
'Monalisa को दीदी बोलता था और फिर जो किया', शादी के 13 दिन बाद चाचा का शॉकिंग खुलासा, बताया मुस्लिम पति का सच -
Silver Rate Today: चांदी भरभरा कर धड़ाम! ₹10,500 हुई सस्ती, 100 ग्राम के भाव ने तोड़ा रिकॉर्ड, ये है रेट -
Gold Rate Today: सोने के दामों में भारी गिरावट,₹10,000 गिरे दाम, दिल्ली से पटना तक ये है 22k से 18k के भाव -
'शूटिंग सेट पर ले जाकर कपड़े उतरवा देते थे', सलमान खान की 'हीरोइन' का सनसनीखेज खुलासा, ऐसे बर्बाद हुआ करियर -
Bengaluru Chennai Expressway: 7 घंटे का सफर अब 3 घंटे में, एक्सप्रेसवे से बदलेगी दो शहरों की रोड कनेक्टिविटी -
VIDEO: BJP नेता माधवी लता ने एयरपोर्ट पर क्या किया जो मच गया बवाल! एयरपोर्ट अथॉरिटी से कार्रवाई की मांग -
Delhi NCR Weather Today: दिल्ली-NCR में होगी झमाझम बारिश, दिन में छाएगा अंधेरा, गिरेगा तापमान -
युद्ध के बीच ईरान ने ट्रंप को भेजा ‘बेशकीमती तोहफा’, आखिर क्या है यह रहस्यमयी गिफ्ट -
Gold Silver Price: सोना 13% डाउन, चांदी 20% लुढ़की, मार्केट का हाल देख निवेशक परेशान -
Mumbai Gold Silver Rate Today: सोने-चांदी की कीमतों में जारी है गिरावट, कहां पहुंचा रेट?












Click it and Unblock the Notifications