अब X-ray से होगी कोरोना जांच, 98% है सक्सेस रेट, जानिए कैसे करता है काम
अब X-ray से होगी कोरोना जांच, 98% है सक्सेस रेट, जानिए कैसे करता है काम
नई दिल्ली, 20 जनवरी: अब वैज्ञानिकों ने कोरोना जांच के लिए एक नया तरीका खोज लिया है, अब एक्स-रे के जरिए भी कोविड-19 की जांच की जा सकेगी। स्कॉटलैंड में वैज्ञानिकों के एक ग्रुप ने एक्स-रे का उपयोग करने वाले व्यक्ति में कोरोना वायरस रोग (कोविड -19) संक्रमण की उपस्थिति का पता लगाने का एक तरीका खोजा है। ये जांच किसी भी व्यक्ति के अंदर कोरोना की उपस्थिति की भविष्यवाणी करने के लिए कृत्रिम बुद्धि (एआई) का उपयोग करता है। ये परीक्षण वेस्ट स्कॉटलैंड विश्वविद्यालय (यूडब्ल्यूएस) के वैज्ञानिकों ने विकसित किया है। उनका दावा है कि ये 98 प्रतिशत प्रभावी है।

'PCR टेस्ट से भी तेज होगा, ये X-ray जांच'
वैज्ञानिकों का यह भी कहना है कि यह पीसीआर परीक्षण से तेज होगा। पीसीआर परीक्षण का नतीजा आने में घंटों लग जाते हैं। यूडब्ल्यूएस के वैज्ञानिकों में से एक प्रोफेसर नईम रमजान ने कहा, ''लंबे समय से एक त्वरित और विश्वसनीय उपकरण की आवश्यकता थी जो कोविड-19 का पता लगा सके और यह ओमिक्रॉन वैरिएंट के साथ और भी साकार होगा।''

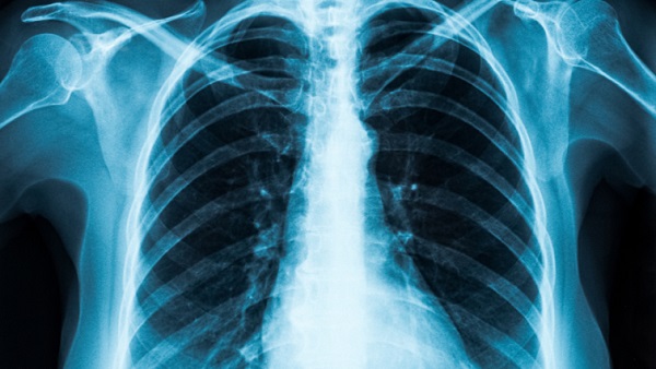
कैसे काम करता है ये X-ray टेस्ट
यूडब्ल्यूएस के शोधकर्ताओं के मुताबिक नई तकनीक स्कैन की तुलना लगभग 3,000 छवियों के डेटाबेस से करने के लिए एक्स-रे तकनीक का उपयोग करती है, जो कोवि -19 के रोगियों, स्वस्थ व्यक्तियों और वायरल निमोनिया से संबंधित हैं। ये एक एआई प्रक्रिया है, जिसे डीप कन्वेन्शनल न्यूरल नेटवर्क के रूप में जाना जाता है। इस प्रक्रिया में इमेजरी का विश्लेषण करने और निदान करने के लिए एक एल्गोरिथ्म का उपयोग करता है। यूडब्ल्यूएस के वैज्ञानिकों का कहना है कि ये एक व्यापक परीक्षण चरण के दौरान तकनीक 98 प्रतिशत से अधिक सटीक साबित हुई।

कोरोना की शुरुआती लक्षणों में ये टेस्ट नहीं करता है काम
प्रोफेसर रमजान ने हालांकि ये स्वीकार किया कि कोरोना संक्रमण के शुरुआती चरणों के दौरान एक्स-रे में कोविड -19 लक्षण दिखाई नहीं दे रहे हैं, इसलिए यह पीसीआर परीक्षणों को पूरी तरह से बदल नहीं सकता है। यूडब्ल्यूएस की ओर से कहा गया है कि इनोवेशन एंड एंगेजमेंट के वाइस प्रिंसिपल प्रोफेसर मिलन राडोसावलजेविक और टीम के एक अन्य सदस्य इस अध्ययन का विस्तार करने की योजना बना रहे हैं।












Click it and Unblock the Notifications