OMG! इस महिला की नाक में उग आया दांत, डॉक्टर्स ने सर्जरी कर निकाला बाहर
अगर 12 महीने नाक से खून बहता रहे तो ये गंभीर बीमारी है। इस महिला ने भी लगातार खून बहने को आम समझने की भूल कर दी थी और जब खून बहने का कारण समझ आया तो इसके होश उड़ गए। इस महिला के नाक से खून बहने के पीछे का कारण नाक में उग आया एक दांत था।
बीजिंग। नाक से खून बहना आम बात है। लोगों के अक्सर ज्यादा गर्मी के कारण नाक से खून बहता है और सर्दियों के मौसम में सब ठीक हो जाता है। लेकिन अगर 12 महीने ही खून बहता रहे तो ये गंभीर बीमारी है। इस महिला ने भी लगातार खून बहने को आम समझने की भूल कर दी थी और जब खून बहने का कारण समझ आया तो इसके होश उड़ गए। इस महिला के नाक से खून बहने के पीछे का कारण नाक में उग आया एक दांत था।


सालों करती रहीं इसे नजरअंदाज
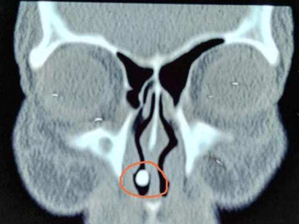
चीन की रहने वाली 57 वर्षीय जिया को काफी सालों से नाक से खून आता था। वो भी इसे आम बात समझ के नजरअंदाज करती रहीं लेकिन जब बात ज्यादा बिगड़ गई तब वो डॉक्टर के पास गईं। डॉक्टर्स ने एक्स-रे किया तो उन्हें उनकी नाक में कुछ दिखा। डॉक्टर्स को लगा कि ये कोई बाहर की चीज है जो नाक में घुस गई है और इसी के कारण इतना खून बह रहा है।

नाक में उगे दांत देख डॉक्टर्स भी हैरान
डॉक्टर्स ने इसे निकालने के लिए सर्जरी शुरू की। सर्जरी के दौरान जब डॉक्टर्स को पता चला कि ये कोई वस्तु नहीं, बल्कि जिया का दांत है तो वो भी हैरान रह गए। जिया की नाक में एक दांत उग आया था जो पूरा बढ़ चुका था। डॉक्टरों ने फिर उनकी नाक से दांत निकालने की प्रक्रिया तेज की ताकि उन्हें जल्दी आराम मिले।

बचपन से मौजूद था दांत
डॉक्टर्स के मुताबिक जिया की नाक में ये दांत तभी से था जब वो पैदा हुईं थीं मगर बढ़ना शुरू हुआ प्रेगनेंसी के बाद। जब जिया पहली बार मां बनीं तब नाक में ये दांत बढ़ना शुरू हुआ और सर्जरी के वक्त ये पूरा बढ़ा हुआ था। डॉक्टरों के मुताबिक ऐसे केस काफी कम ही देखने को मिलते हैं।












Click it and Unblock the Notifications